引言
近年来,关于利用干细胞外泌体作为预防妊娠纹、修复妊娠纹的研究及文献逐渐发表。通过促进皮肤再生、增强皮肤弹性和减轻炎症,外泌体为妊娠纹的修复提供了新的希望。
根据外媒报道,国际护肤专家表示,“使用外泌体修复妊娠纹,实现胶原蛋白的增加以及妊娠纹质地的改善,通过像皮肤内注入外泌体等物质,可以将微针技术提升到一个新的水平,这种组合比以往任何一种组合都更进一步。”
今天通过文献盘点,为大家科普干细胞外泌体修复妊娠纹的机制,以及临床上的进展。
妊娠纹,在国际上经常被称为“老虎纹、妈妈的伤疤、勇气的徽章,永远的闪电……”。
妊娠纹是身体内部变化的一种生理标志,有时也是情感标志。这些蚀刻的线条,代表真皮中的撕裂。据估计,50%到90%的女性有妊娠纹。

这些因孕期皮肤扩张而形成的条纹状痕迹,不仅悄然出现在腹部,还可能延伸至腰部、大腿等区域。妊娠纹的形成与皮肤的快速伸展、激素水平的变化及遗传因素等因素密切相关。
许多新妈妈反映,妊娠纹不仅影响了肌肤的美观度,更在某种程度上引发了自卑情绪,尤其是在重返职场或参与社交活动时,担心他人的目光与评论。
专家观点:外泌体修复妊娠纹,提高到一个新的水平
传统上,治疗妊娠纹的方法多种多样,包括药物治疗、激光治疗、微针疗法等。然而,这些方法的疗效参差不齐,且对于某些人群可能存在副作用或风险。
因此,寻找一种安全、有效且广泛适用的治疗方法一直是皮肤科医生和研究者们的努力方向。
近年来,干细胞外泌体作为一种新兴的治疗策略,因其在组织修复和再生中的潜力,受到越来越多的关注。

目前,国内外学术平台上均可以搜索到外泌体修复妊娠纹的报道,包括文献案例、技术专利以及专家评述等。
例如,国际护肤专家表示Kristina Kitsos,“使用外泌体修复妊娠纹,实现胶原蛋白的增加以及妊娠纹质地的改善,通过像皮肤内注入外泌体等物质,可以将微针技术提升到一个新的水平,这种组合比以往任何一种组合都更进一步。”
干细胞外泌体修复妊娠纹的作用机制
干细胞外泌体是细胞释放的一种微小膜包裹体,其尺寸通常在30至200纳米范围内。这些外泌体是生物活性分子的宝库,涵盖了蛋白质、脂质、RNA以及miRNA等多种成分。
如下图所示,在细胞间的信息交流过程中,外泌体扮演着关键角色,它们能够转运细胞内部的信息,进而调控广泛的生理和病理反应。

(图片来自参考文献1)
特别是来源于间充质干细胞(MSCs)的外泌体,因展现出促进组织修复、调节免疫应答及具备抗炎性能等独特优势,而成为了科学研究的热点。
外泌体修复妊娠纹的机制
1.促进皮肤再生
干细胞外泌体富含多种生长因子,如表皮生长因子(EGF)和成纤维生长因子(FGF),这些因子能够刺激皮肤细胞的增殖和迁移,促进皮肤的再生。
外泌体通过与皮肤细胞表面的受体结合,激活细胞内信号通路,促进胶原蛋白和弹性蛋白的合成,从而改善皮肤的结构和功能。
2.增强皮肤弹性
妊娠纹的形成与皮肤弹性的下降密切相关。干细胞外泌体中的生长因子能够促进弹性蛋白的合成和重建,从而提高皮肤的弹性,减少妊娠纹的形成和明显程度。此外,外泌体中的miRNA被发现能调节与皮肤弹性相关的基因表达,进一步增强皮肤的恢复能力。
3.抗炎作用
妊娠纹的形成过程中,局部的炎症反应起着重要作用。干细胞外泌体能够通过调节免疫反应、抑制促炎因子的释放来减轻炎症,保护皮肤细胞。外泌体中富含的抗炎因子能够降低皮肤局部的炎症水平,促进更健康的皮肤环境,有助于妊娠纹的修复。
4.细胞信号传导,促进整体改善
干细胞外泌体促进皮肤再生的作用是方面的。除了上述三种主要机制外,它们还参与复杂的细胞信号传导。通过信号通路网络,外泌体促进细胞之间的交流,协调皮肤修复和再生。
干细胞外泌体充当介质,将关键信息传递给邻近的细胞和组织。这些信息包括胶原蛋白合成、炎症调节和组织再生等。有了这种信息的传递,可确保同时解决皮肤健康的多个方面,从而全面改善皮肤的外观和质量。
5.协调作用,增强效果
上述机制并不是孤立运作的。相反,它们协同作用,在疤痕和妊娠纹修复中产生更好的效果。干细胞外泌体参与促进胶原蛋白、炎症调节和组织再生的平衡。这种协同作用使受影响区域能够得到全面和持续的改善。
干细胞外泌体修复妊娠纹的临床进展
近年来,关于干细胞外泌体修复妊娠纹的临床研究进展相继发表。
日前,一项发表在《Stem Cell Research & Therapy》杂志上的双盲随机临床试验,为干细胞外泌体治疗妊娠纹提供了新的证据。
这项研究由国际上的皮肤科医生团队完成,他们探索了人间充质干细胞条件培养基(含有外泌体等生物活性成分)结合微针疗法治疗妊娠纹的效果。

研究选取了10名年龄在18至60岁之间的女性,她们腹部均有明显的妊娠纹。
研究者将每位参与者的妊娠纹分为两部分,一部分接受微针疗法结合条件培养基治疗,另一部分则仅接受微针疗法结合生理盐水治疗。
该治疗一共进行三次,每次间隔三周。在第一次干预前和最后一次干预后三个月对患者进行评估。

(图片来自参考文献3)
经过治疗后,结果如上图所示,左右图分别为治疗前后的图片,可见治疗效果还是较为明显的。
同时,与微针生理盐水组相比,微针干细胞培养基组(包含外泌体)的患者满意度更高。
综上,接受干细胞条件培养基治疗(包含外泌体)的部分在皮肤超声指标、医生评估和患者满意度方面均表现出显著改善。
还有文献报道,干细胞外泌体不仅数量众多,而且其中包含的α2M浓度异常高。
α2M作为一种多功能蛋白质,在以往的研究中已被初步认为可能在促进伤口愈合方面发挥着关键作用。
这一发现提示我们,干细胞外泌体及其携带的α2M可能构成了一个复杂的生物调节系统,该系统在胎儿出生后,特别是在伤口愈合和组织修复过程中,可能扮演着至关重要的角色。


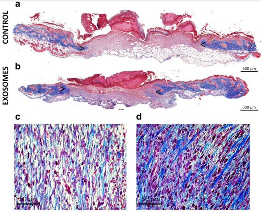
(图片来自参考文献4)
随后进行的结果显示,那些接受了外泌体治疗的实验组相较于对照组,在伤口愈合方面展现出了更为显著的效果。
具体表现为,这些实验组伤口部位的细胞数量增多,同时伤口区域的胶原沉积也明显增加。这一实验结果有力地证明了,来源于脐带间充质干细胞的外泌体具备成为新型治疗手段的潜力。
小结
干细胞外泌体作为一种新兴的治疗手段,在妊娠纹修复中展现了良好的安全性和有效性。通过促进皮肤再生、增强皮肤弹性和减轻炎症,外泌体为妊娠纹患者提供了新的治疗希望。未来的研究应致力于优化外泌体的提取与应用,并开展更多的临床试验,以推动其在妊娠纹治疗中的广泛应用。
参考文献:
[1] Fayazi, N., Sheykhhasan, M., Soleimani Asl, S. et al. Stem Cell-Derived Exosomes: a New Strategy of Neurodegenerative Disease Treatment. Mol Neurobiol 58, 3494–3514 (2021).
链接:https://doi.org/10.1007/s12035-021-02324-x
[2] Xiong M, Zhang Q, Hu W, Zhao C, Lv W, Yi Y, Wang Y, Tang H, Wu M, Wu Y. The novel mechanisms and applications of exosomes in dermatology and cutaneous medical aesthetics. Pharmacol Res. 2021 Apr;166:105490. doi: 10.1016/j.phrs.2021.105490. Epub 2021 Feb 12. PMID: 33582246.
链接:https://pubmed.ncbi.nlm.nih.gov/33582246/
[3] Behrangi E, Feizollahi M, Zare S, Goodarzi A, Ghasemi MR, Sadeghzadeh-Bazargan A, Dehghani A, Nouri M, Zeinali R, Roohaninasab M, Nilforoushzadeh MA. Evaluation of the efficacy of mesenchymal stem cells derived conditioned medium in the treatment of striae distensae: a double blind randomized clinical trial. Stem Cell Res Ther. 2024 Mar 5;15(1):62. doi: 10.1186/s13287-024-03675-7. PMID: 38439103; PMCID: PMC10913631.
链接:https://pmc.ncbi.nlm.nih.gov/articles/PMC10913631/#CR52
[4] Bakhtyar N, Jeschke MG, Herer E, Sheikholeslam M, Amini-Nik S. Exosomes from acellular Wharton's jelly of the human umbilical cord promotes skin wound healing. Stem Cell Res Ther. 2018 Jul 13;9(1):193. doi: 10.1186/s13287-018-0921-2. PMID: 30005703; PMCID: PMC6044104.
链接:https://pmc.ncbi.nlm.nih.gov/articles/PMC6044104/
[5] https://aedit.com/aedition/how-to-minimize-stretch-marks







